Latest

आठव्या वर्षी घशात अडकले नाणे, तेरा वर्षांनी काढले!

दिनेश चोरगे

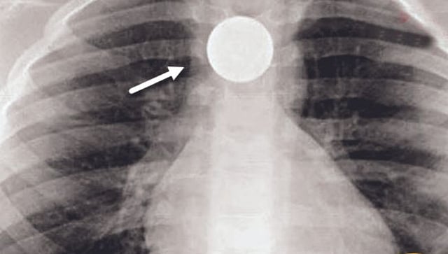
इंदूर ः लहान मुलं कधी काय उपद्व्याप करतील हे सांगता येत नाही. तोंडात पेन्सिल, नाणी घालणारे अनेक मुले असतात. मध्य प्रदेशात इंदूरमध्ये नुकतेच 21 वर्षांची एक तरुणी हॉस्पिटलमध्ये तपासणीसाठी गेली असताना तिच्या अन्ननलिकेत एक रुपयाचे नाणे अडकल्याचे दिसून आले. हे नाणे ती आठ वर्षांची असताना तिने गिळले होते. त्यानंतर आता तेरा वर्षांनी हे नाणे बाहेर काढण्यात आले!

या तरुणीचे नाव नाजमीन. तिचे वडील फारुख यांनी सांगितले की ते इंदूरमध्ये राहतात आणि मजुरी करतात. त्यांची कन्या नाजमीन आठ वर्षांची असताना तिने हट्ट केल्याने चॉकलेट खरेदी करण्यासाठी तिला एक रुपयाचे नाणे दिले होते. त्यावेळी तिने हे नाणे तोंडात ठेवले आणि गिळले. ते तिच्या अन्ननलिकेत अडकले होते. तिने काही वेळा उलट्या केला आणि नंतर ती बरी झाल्याचे दिसले. त्यानंतर तेरा वर्षे या गोष्टीकडे कुणाचे लक्ष गेले नाही व तिलाही कसला त्रास जाणवला नाही. मात्र, अलीकडे तिचे वजन सातत्याने कमी होत होते. तपासणीवेळी दिसून आले की हे नाणे अद्याप तिच्या अन्ननलिकेत अडकून राहिलेले आहे. डॉक्टरांनी शस्त्रक्रिया करून हे नाणे बाहेर काढले.

लोकल ते ग्लोबल बातम्यांसाठी डाऊनलोड करा दैनिक पुढारीचे Android आणि iOS मोबाईल App.

'Pudhari' is excited to announce the relaunch of its Android and iOS apps. Stay updated with the latest news at your fingertips.

Android and iOS Download now and stay updated, anytime, anywhere.

SCROLL FOR NEXT